Unsere Behandlungsmöglichkeiten
In unserer Klinik wird das gesamte operative Behandlungsspektrum für die verschiedenen Wirbelsäulenerkrankungen angeboten. Die primären konservativen Maßnahmen (z. B. Physiotherapie / Ergotherapie / wirbelsäulennahe Injektionen) können bei entsprechender Indikation durch operative Maßnahmen ergänzt werden.
Erkrankungen der Wirbelsäule


Bandscheibenvorfall an der Halswirbelsäule
Ein Bandscheibenvorfall an der Halswirbelsäule heißt cervicaler Bandscheibenvorfall. Dabei drückt ein Stück des Bandscheibenkernes nach Einreißen des Bandscheibenringes auf einen Halsnerv oder auf das Rückenmark. Typische akute Symptome sind starke Schmerzen im Nacken, die in den Arm oder sogar in die Finger ausstrahlen. Zusätzlich können neurologische Symptome auftreten: Gefühlsstörungen, Taubheit, Kribbeln und eine Kraftschwäche in Arm oder Hand. Der Schmerz kann durch Seit- oder Rückwärtsneigen des Kopfes verstärkt werden. Gelegentlich berichten Patienten davon, dass ein Schwindel mit teilweisen Ohrgeräuschen auftritt.
Abb. Bandscheibenvorfall an der Halswirbelsäule vor der Operation


Abb. Bandscheibenvorfall an der Halswirbelsäule nach der Operation
Diagnose und Behandlung
Zum Beginn der Behandlung untersuchen wir Sie ausführlich klinisch und neurologisch. Zur Diagnosesicherung sind eine MRT und eine Röntgenuntersuchung der Halswirbelsäule notwendig. Wenn keine neurologische Symptomatik besteht, sollte zeitig mit einer konservativen Therapie begonnen werden.
Hierbei kommen lokale Wärmebehandlung, Einnahme von ausreichend hoch dosierten Schmerzmitteln und krankengymnastische Maßnahmen (z. B. stabilisierende Übungen unter Streckbehandlung) zur Anwendung. Eine sanfte, nicht mobilisierende manuelle Therapie kann nach Abklingen der initialen Phase begonnen werden. In ausgewählten Fällen kann auch mithilfe einer CT-Steuerung die Nervenwurzel direkt angespritzt (Periradikuläre Therapie) und somit der lokale Reiz gemindert werden.
Eine absolute OP-Notwendigkeit besteht dann, wenn neurologische Ausfälle wie Lähmungen im Arm oder eine Schädigung des Rückenmarks (Myelopathie) vorliegen. Eine relative OP-Notwendigkeit besteht, wenn sich trotz intensiver konservativer Therapie die Beschwerden nicht gebessert haben.
Die Operation wird minimal-invasiv von vorne mithilfe eines Operationsmikroskops durchgeführt. Mithilfe von Röntgenaufnahmen identifizieren wir die geschädigte Bandscheibe. Während der Operation wird ein etwa drei bis fünf cm langer Hautschnitt (links der Mitte) am Hals angelegt. Anschließend wird die Halsmuskulatur in der Tiefe schonend auseinandergeschoben, bis die Halswirbelsäule sichtbar ist. Nach Entfernung der Bandscheibe wird mit feinen Instrumenten das hintere Längsband entfernt, sodass alle neuronalen Strukturen befreit sind. Anschließend wird in den Bandscheibenraum ein Ersatz (Cage) aus Kunststoff oder eine Bandscheibenprothese implantiert und die Lage des Implantats radiologisch überprüft.
Stationärer Aufenthalt und Heilung
Nur selten fühlen sich Patienten in ihrer Beweglichkeit eingeschränkt. Sie bleiben maximal vier bis sechs Tage im Krankenhaus. Normale Alltagstätigkeiten sind sehr schnell wieder möglich. In der Regel sind Sie nach sechs bis zehn Wochen wieder arbeitsfähig.


Bandscheibenvorfall an der Lendenwirbelsäule
Einen Bandscheibenvorfall können Sie u. a. durch einseitige Belastung bei Büroarbeit, mangelnde Bewegung, durch einen Unfall, genetische Schwäche oder während der Schwangerschaft erleiden. Bandscheibenvorfälle treten häufig bei Patienten im mittleren Lebensalter auf. Dabei sind die Bandscheiben zwischen dem 4. und 5. Lendenwirbel bzw. dem 5. Lendenwirbel und dem Kreuzbein am häufigsten betroffen. Bei einem schmerzhaften Vorfall drückt das vorgefallene Bandscheibengewebe auf den Inhalt des Wirbelkanals und oft auch auf die Nervenwurzeln.
Wird durch einen Vorfall eine Nervenwurzel im Bereich der unteren Lendenwirbelsäule gequetscht, tritt meist ein plötzlicher Schmerz auf, der bis ins Bein hineinwirkt. Dieser kann mit Gefühlsstörungen bzw. Lähmungserscheinungen einhergehen. Bei zentraler Lage und sehr großem Vorfall kann es zu einer Blasen- / Mastdarm-Funktionsstörung kommen. Diese besondere Form des Bandscheibenvorfalls (das Cauda-Syndrom) ist ein absoluter Notfall und bedarf einer sofortigen stationären Einweisung. Bei entsprechender Diagnose erfolgt eine operative Therapie.
Weitere Informationen zur MRT-Diagnostik der Wirbelsäule finden Sie auf den folgenden Seiten:
Zu Beginn der Untersuchung fragen wir Sie nach Beginn, Art und Ausstrahlung von Schmerzen. Außerdem klären wir mit Ihnen, ob es zu Gefühlsstörungen, Lähmungserscheinungen oder Störungen der Blasen-Darmfunktion gekommen ist und ob es etwaige Vorbehandlungen gab. Nach einer klinischen Untersuchung schließt sich die Diagnostik mit bildgebenden Verfahren wie Röntgen, Computertomographie (CT) und Magnetresonanztomographie (MRT) an.
Leiden Sie an Beinschmerz ohne Lähmungserscheinung, wird bei Ihnen in Abhängigkeit von Ihrem Beschwerdebild entweder eine ambulante oder eine stationäre konservative Therapie mit Schmerzmitteln, Physiotherapie, Lagerungsbehandlung bzw. minimal-invasiven Verfahren (Infiltrationen oder Injektionen) durchgeführt. Bei mehr als 90 % der Patienten werden dadurch Beschwerden deutlich gemindert.
In einigen Fällen zeigt die konservative Therapie allerdings keine Besserung der Schmerzsymptomatik. Sollte dies bei Ihnen der Fall sein oder leiden Sie zusätzlich an Lähmungserscheinungen, empfehlen wir die operative Therapie. Die minimal-invasive, mikroskopisch assistierte Bandscheibenoperation ist dabei in vielen Fällen das ideale Verfahren. Dabei erfolgt die Entfernung des vorgefallenen Bandscheibengewebes unter dem Operationsmikroskop. Wir operieren hier über eine nur drei bis vier Zentimeter große „Mini-Öffnung“. Ihr Vorteil: Muskulatur und Stützgewebe werden weitestgehend geschont, die Gefahr schmerzhafter Narbenbildung oder operationsbedingter Funktionseinschränkungen (z. B. Wirbelgleiten) werden verringert. Unter mikroskopischer Kontrolle entfernen wir mit feinen Instrumenten das hervorgequollene Bandscheibengewebe.
Häufig können Sie nach einem mikrochirurgischen Eingriff an der Wirbelsäule nach nur wenigen Tagen wieder nach Hause. Für gewöhnlich schließt sich, etwa vier Wochen nach dem Eingriff, eine ca. dreiwöchige Reha an.


Ein typisches Symptom einer Wirbelkanalverengung (der Spinalkanalstenose) im Bereich der Lendenwirbelsäule ist die „Schaufensterkrankheit“. Dabei verkürzen sich die Strecken, die Sie schmerzfrei gehen können. Gerade ältere Patienten müssen nach einer immer kürzeren Gehstrecke stehenbleiben, weil Schmerzen vom Rücken in die Beine ausstrahlen. Beim nach vorne beugen oder beim Fahrradfahren verspüren sie häufig eine Linderung der Schmerzen. Sollte der Raum zwischen zwei Wirbeln und der dazwischenliegenden Bandscheibe (das Bandscheibenfach) instabil geworden sein, berichten Patienten vom Gefühl des Durchbrechens an der Wirbelsäule. In sehr schlimmen Fällen kann es zu Sensibilitätsstörungen und Lähmungen bis hin zu Blasen-Mastdarm-Funktionsstörungen kommen.
Die Spinalkanalstenose ist eine teilweise oder komplette Einengung des Spinalkanales. Sie tritt infolge degenerativer Veränderungen am häufigsten in der Lendenwirbelsäule sowie in der Halswirbelsäule auf. Bei der Entstehung einer Spinalkanalstenose kommt es aufgrund degenerativer Veränderungen der Wirbelsäule zu knöchernen Anbauten an den Wirbelkörpern und kleinen Wirbelgelenken. Dabei beobachten wir Veränderungen an den Bändern (Hypertrophie), Vorwölbungen der Bandscheiben (Protrusionen) sowie Verschiebungen der Wirbel gegeneinander bei einer Instabilität des Bandscheibenfaches.


Abb. Spinalkanalstenose vor der Operation


Abb. Spinalkanalstenose nach der Operation
Zur idealen Diagnose werden wir neben der klinischen Untersuchung und der Anfertigung von Röntgenbildern oft ein Magnetresonanztomogramm (also Schichtbilder im Kernspintomographen (MRT)) anfertigen. In speziellen Fällen ist eine Funktionsmyelografie notwendig. Bei dieser Untersuchung wird ein Kontrastmittel in den Spinalkanal gespritzt, anschließend werden Röntgenbilder in gebeugter und überstreckter Haltung der Wirbelsäule angefertigt. So können wir Spinalkanaleinengungen sowie instabile Segmente erkennen und anschließend im Computertomogramm dargestellen.
Bei der Behandlung steht an erster Stelle die konservative Therapie mit Krankengymnastik, manueller Therapie, physikalischer Therapie sowie einer suffizienten Schmerztherapie. Unter stationären Bedingungen bieten wir eine minimal-invasive oder Komplextherapie mit spinalkanalnahen Injektionen in den Spinalkanal an. Hierbei werden entzündungshemmende Medikamente oder örtliche Betäubungsmittel zielgenau in den Wirbelkanal oder an die Nervenwurzel gespritzt. Der Schmerz wird also dort behandelt, wo er entsteht. Damit dieser Punkt auch exakt getroffen wird, kann der behandelnde Arzt den Eingriff an der Wirbelsäule über einen Bildwandler an einem Bildschirm genau verfolgen.
Bestehen bei Ihnen nach Ausschöpfen aller konservativen Therapiemaßnahmen weiterhin dauerhafte Beschwerden, kann an der Lendenwirbelsäule die Indikation zu einer Freilegung der eingeengten Rückenmarkabschnitte und Nervenwurzeln gestellt werden. Dies kann unter Verwendung mikroskopisch assistierter minimal-invasiver Verfahren „stabilitätserhaltend“, d. h. ohne gleichzeitige Versteifung, erfolgen.
Liegt bei Ihnen zusätzlich eine größere Instabilität im Bewegungssegment vor, ist eine Stabilisierung des betroffenen Wirbelsäulenabschnitts notwendig. Im Bereich der Lendenwirbelsäule arbeiten wir zur Stabilisierung mit einem Schrauben-Stab-System von hinten (dorsale Spondylodese). Außerdem erfolgt das Ausräumen des Bandscheibenfaches und Einbringen von knochengefüllten Platzhaltern dorsal (von hinten) oder transforaminal (seitlich) – und das zudem in Abhängigkeit von der betroffenen Segmenthöhe und dem gesundheitlichen Status.
Im Bereich der Halswirbelsäule führen wir die Entlastung und Dekompression des Wirbelkanals meistens von vorne durch. Dabei wird die gesamte Bandscheibe zusammen mit dem hinteren Längsband entfernt. Den Zwischenwirbelraum überbrücken und stabilisieren wir dann entweder durch einen Platzhalter (Cage) oder setzen eine künstliche Bandscheibe ein.
Ihr stationärer Aufenthalt bei uns beträgt in den meisten Fällen nur etwa fünf bis sieben Tage. Abhängig von Ihrer individuellen Symptomatik beträgt die Genesungszeit zwischen acht und zwölf Wochen.

Abb. Spondylolisthese vor der Operation
Als Wirbelgleiten (Spondylolisthese) bezeichnet man eine Instabilität der Wirbelsäule, oft betrifft dies die Lendenwirbelsäule. Für das Wirbelgleiten gibt es viele unterschiedliche Ursachen, es ist in der Regel ein verschleißbedingtes Krankheitsbild, das bei 2 – 4 % der Bevölkerung auftritt. Gehäuft sind Leistungssportler wie z. B. Speerwerfer, Judokas, Kunstturner und Ringer betroffen.
Durch Wirbelgleiten leiden Sie an belastungs- bzw. bewegungsabhängigen Kreuzschmerzen kombiniert mit einer Ausstrahlung der Schmerzen in die Beine. Zusätzlich können Sensibilitätsstörungen, Lähmungserscheinungen und eine Verkürzung der schmerzfreien Gehstrecke auftreten. Dennoch haben etwa 50 % der Menschen mit einer Spondylolisthesis nur selten oder keine Beschwerden.
Entwicklung einer Spondylolisthesis durch Spondylolyse:
Eine Spaltbildung zwischen Wirbelkörper und Wirbelbogen bezeichnet man als Spondylolyse. Diese ist bei bis zu 8 % aller Menschen vorhanden. Nur bei ca. 2 – 4 % der Betroffenen entwickelt sich dann das Gleitphänomen, eine Spondylolisthesis entsteht. Betroffen sind in erster Linie jüngere Patienten. Am häufigsten finden wir mit ca. 60 - 70 % ein Wirbelgleiten im unteren Bereich der Lendenwirbelsäule im Segment L5/S1. Das Segment L4/5 ist mit ca. 20 - 30 % betroffen.
Erworbene Spondylolisthesis:
Bei älteren Patienten kommt es durch Verschleiß an den Bandscheiben zu einer vermehrten Segmentbeweglichkeit. Der Halteapparat in einem Bandscheibensegment kann die Last bei Beugung und Streckung nicht mehr halten. Hieraus entsteht dann eine zunehmende schmerzhafte Instabilität, welche wir als „degenerative“ Spondylolisthesis bezeichnen.


Abb. Spondylolisthese nach der Operation
Bei ausgeprägtem Wirbelgleiten zeigt sich bei der Betrachtung Ihrer Wirbelsäule von hinten ein sogenanntes Sprungschanzenphänomen, d. h. eine sichtbare Stufe in der Lendenwirbelsäule. Röntgenaufnahmen Ihrer Wirbelsäule in zwei Ebenen ergänzen wir durch sogenannte Funktionsaufnahmen in Beugung und Streckung. Häufig ist erst hier die dynamische Komponente des Wirbelgleitens zu erkennen. Die Spondylolisthesis wird häufig in vier Schweregrade eingeteilt:
Grad I: Verschiebung des Wirbels bis 25 %
Grad II: Verschiebung des Wirbels zwischen 25 und 50 %
Grad III: Verschiebung des Wirbels zwischen 51 – 75 %
Grad IV: Verschiebung des Wirbels über 75 %
Im ersten Schritt sollte immer mit einer ausführlichen konservativen Therapie begonnen werden. Das Hauptaugenmerk richten wir auf eine Stabilisierung der Rumpfmuskulatur. Hier kommen spezielle Übungsprogramme (Rückenschule und entlordosierende Übungen) in Verbindung mit einer medikamentösen Schmerztherapie in Frage. Durch lokale Injektionen in die betroffenen Facettengelenke in Kombination mit Nervenwurzelinfiltrationen erreichen wir häufig eine deutliche Schmerzlinderung. Eine dauerhafte Korsetttherapie wird heutzutage nicht mehr empfohlen, da sich hierunter die wichtige Rumpfmuskulatur zurückbilden kann und so das Wirbelgleiten verstärkt würde.
Sollten Sie trotz einer intensiven konservativen Therapie an starken Schmerzen leiden oder sind teilweise neurologische Ausfallerscheinungen und ein Instabilitätsgefühl vorhanden, kann eine Stabilisierung als Behandlungsmethode in Betracht gezogen werden. Hierbei kommen Verfahren zur Anwendung, die das instabile Wirbelkörpersegment mit einem Schrauben- / Stabsystem kombiniert mit einem interkorporellen Platzhalter, wie z. B. Knochen oder Knochenersatzstoff, versteifen. Das Verfahren heißt auch „360° Fusion“. Unterschieden wird hier zwischen Operationen von hinten (PLIF), von der Seite (TLIF, XLIF) oder von vorne (ALIF).
Für gewöhnlich bleiben Sie ca. zehn Tage im Krankenhaus. Abhängig von Ihrer individuellen Symptomatik beträgt die Genesungszeit zwischen drei und sechs Monaten.
Leiden Sie an einer rheumatoiden Arthritis, so handelt es sich um eine Autoimmunerkrankung, bei der es zu entzündlichen Reaktionen des Körpers gegen eigenes Gewebe kommt. Häufig sind dann die Gelenke und ihre Schleimhäute, Bänder und Kapseln davon betroffen. Dieser Entzündungsprozess kann nicht nur zu Schmerzen führen, er führt auch zu einer Zerstörung von Gelenken. Eine Instabilität der Wirbelsäule ist die Folge.
Neben den Finger-, Knie- und anderen Gelenken ist häufig die obere Halswirbelsäule betroffen. Dabei kommt es meist zu einer Instabilität zwischen den Kopfgelenken und der oberen Halswirbelsäule bzw. zwischen dem 1. und 2. Halswirbel. Häufig zeigen sich Symptome hier seltener und später als beim Befall von Knie- oder Fingergelenken. Nackenschmerzen werden häufig als erste Beschwerde angegeben. Dies verstärkt sich später als chronischer Schmerz bei Drehung des Kopfes. Symptome wie Übelkeit und Erbrechen mit Schwindel sind erste Zeichen einer Rückenmarksschädigung, die im Verlauf der Erkrankung zu Gang- und Gefühlsstörungen an Händen und Füßen führt. Bei fortgeschrittenen Einengungen des Spinalkanals kommt es zu Funktionseinschränkungen bis hin zu Lähmungen.
Am Anfang fertigen wir für gewöhnlich Röntgenaufnahmen der Halswirbelsäule in zwei Ebenen an. Hier können wir häufig erhebliche Veränderungen oder Asymmetrien am 2. Halswirbelkörper sowie an den Gelenkflächen feststellen. Da eine Instabilität zwischen dem 1. und 2. Halswirbelkörper sehr häufig in den konventionellen seitlichen Aufnahmen übersehen werden kann, sind seitliche Funktionsaufnahmen in Beugung und Streckung geeignet, das Ausmaß der Instabilität im Wachzustand zu erfassen.
Mit Hilfe einer Magnetresonanztomographie (MRT) beurteilen wir die rheumatische Veränderung Ihrer Halswirbelsäule. Hier können wir Kompressionen und Schädigungen des Rückenmarks am besten entdecken und beurteilen.
Bei Schmerzen und Funktionseinschränkungen, bei radiologisch gesicherter Instabilität sowie bestehenden neurologischen Defiziten sollte eine operative Versorgung in Betracht gezogen werden. Es gibt eine Vielzahl operativer Verfahren, um Instabilität und Kompressionen im Bereich der Halswirbelsäule zu beheben. Die Operation wird je nach Art der Schädigung ventral (von vorne) oder dorsal (vom Rücken aus) durchgeführt.
Folgende Verfahren kommen zur Anwendung:
Dorsale Fusion der Wirbel C1 und C2 in Harms-Technik: Wirbel werden mittels Schrauben und Fixierungen verblockt und durch Einlagern von Knochenmaterial und Implantaten versteift.
Zentrale Korpektomie mit vorderer und hinterer Instrumentation: Vom Hals aus werden zerstörte Wirbelkörper oder Wirbelteile entfernt und so eine Druckentlastung erreicht. Das instabile Segment der Wirbelsäule wird mit Schrauben und Fixierungen stabilisiert.
Dorsale Dekompression mit dorsaler Instrumentation und Fusion: Vom Nacken aus werden instabile Segmente der Halswirbelsäule mit Schrauben (Margerl) versehen und zusätzlich mit Beckenknochen fixiert (Gallie).


Abb. Tumor an der Wirbelsäule vor der Operation
An der Wirbelsäule werden ca. zwei Drittel aller Knochentumore diagnostiziert. Diese werden auch als Skelettmetastasen bezeichnet und lösen neben Schmerzen an der Wirbelsäule und einer Allgemeinsymptomatik, wie z. B. Leistungsabfall und Gewichtsabnahme, auch neuronale Störungen oder Lähmungen bis hin zum akuten Querschnittssyndrom aus.
Dort finden wir neben primären Tumoren der Wirbelsäule wie dem Plasmozytom auch gutartige Neubildungen wie das Hämangiom oder Knochenzysten. Zum Großteil handelt es sich allerdings um sog. sekundäre Lokalisationen eines primären Tumors, also Metastasen: z. B. von Mamma-, Prostata-, Bronchial-, Nierenzellkarzinomen oder Lymphomen. In einigen Fällen kann der Primärtumor der Metastasen nicht gefunden werden. In diesen Fällen sprechen wir von einem CUP–Syndrom (Cancer of Unknown Primary), einer Krebserkrankung mit unbekanntem Primärtumor.


Abb. Tumor an der Wirbelsäule nach der Operation
Zuerst führen wir eine ausführliche Anamnese und klinische Untersuchung durch. Zudem setzen wir bildgebende Verfahren wie die Computertomografie zur Beurteilung der Stabilität von Wirbelkörpern ein. Die Magnetresonanztomographie (MRT) setzen wir zur Beurteilung der Ausdehnung von Tumoren in den Spinalkanal sowie der lokalen Knochenzerstörung ein. Die Szintigrafie schließlich gibt uns Auskunft über etwaige sonstige Lokalisationen von Metastasen im gesamten Skelett.
Bei akuten Querschnittslähmungen steht die sofortige Operation mit Freilegung und Entlastung des Rückenmarkes sowie Stabilisierung der Wirbelsäule im Vordergrund. Bei allen anderen Formen sollte nach Diagnosefindung, d. h. Bestimmung der Art des Tumors durch eine Gewebeentnahme, über das weitere Vorgehen entschieden werden. Die genaue Art und Reihenfolge der durchzuführenden Therapieformen (Bestrahlung, Chemotherapie, Hormonbehandlung, Operation) wird häufig in Zusammenarbeit der beteiligten verschiedenen Fachrichtungen festgelegt. So ermöglichen wir eine optimale und individuelle Behandlung und erhöhen die Erfolgswahrscheinlichkeit einer Therapie.
Bei multiplen Stabilität-gefährdenden Metastasen bieten wir Ihnen u. a. minimal-invasive Verfahren wie die Zementstabilisierung, ggf. kombiniert mit einer Tumorablation, an.


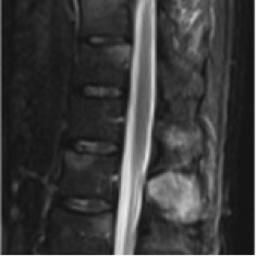
Abb. Wirbelkörperfraktur vor der Operation
Eine Wirbelkörperfraktur entsteht oft durch starke Gewalteinwirkung, etwa durch Sport- oder Autounfälle. Ist die Knochenstruktur bereits geschädigt, z. B. durch Osteoporose, rheumatische Erkrankungen oder Krebs, kann ein Wirbel auch ohne äußere Einwirkungen brechen. Aufgrund unterschiedlicher Ursachen nimmt die Stabilität der Wirbel ab und sie können einbrechen. Diese Schädigung heißt Wirbelkörperkompressionsfraktur. Solche Frakturen können im Alter die Krankheitsanfälligkeit (Morbidität) und manchmal sogar die Sterberate (Mortalität) erhöhen.
Die Fraktur führt bei den meisten Patienten zu ausgeprägten, plötzlichen Rückenschmerzen. Die meisten Frakturen treten im Bereich der unteren Brustwirbelsäule oder der oberen Lendenwirbelsäule auf. Kommt es durch den Bruch auch zu einer Einengung des Wirbelkanals, können hierdurch Nerven unter Druck geraten. Dies kann von ausstrahlenden Schmerzen in die Beine bis hin zu Lähmungserscheinungen führen. Ist es zu einem Wirbelkörperbruch gekommen, ist das Risiko für einen weiteren Knochenbruch deutlich erhöht. Wichtig sind eine konsequente Therapie der ursächlichen Osteoporose sowie die Behandlung des gebrochenen Wirbels.
Weltweit wird die Häufigkeit von Wirbelkörperfrakturen pro Jahr auf über 100 Millionen geschätzt. In Europa werden pro Jahr etwa 440.000 solcher Frakturen diagnostiziert. Die Anzahl der Neuerkrankungen liegt bei Frauen zwischen 50 und 79 Jahren bei 1,1 %, bei Männern im gleichen Alter bei 0,6 %. Ein Viertel aller Wirbelkörperfrakturen tritt bei Frauen nach der Menopause auf.


Abb. Wirbelkörperfraktur nach der Operation
Liegt bei Ihnen eine neurologische Symptomatik z. B. in Form von bis in die Beine ziehenden Schmerzen vor, empfehlen wir zuerst eine konservative Therapie. Diese besteht im Allgemeinen aus einer Kombination von Schmerztherapie mit Medikamenten und der Verordnung von krankengymnastischer Therapie mit isometrischen Übungen. Beim isometrischen Training handelt es sich um eine besondere Form des Krafttrainings durch Kontraktion von Muskeln durch Anspannung und Halten von Spannung. Außerdem ist eine Stabilisation der Rumpfmuskulatur zur Schmerzlinderung möglich. Sollten Sie bei dieser konservativen Therapie zu keiner ausreichenden Linderung der Schmerzen kommen, stehen effektive und minimal-invasive Operationsmethoden zur Verfügung, um den gebrochenen Wirbel zu stabilisieren.
Da es sehr viele verschiedene operative Vorgehensweisen gibt, werden wir anhand von Röntgen und Magnetresonanztomographie (MRT) und unter Berücksichtigung Ihrer Beschwerden individuell festlegen, wie weiter vorgegangen wird.
Bei osteoporotischen Frakturen ist oft eine minimal-invasive Stabilisierung (perkutane Spondylodese) und Auffüllung des gebrochenen Wirbelkörpers mit einem zähflüssigen Zement möglich. Bei traumatischen Frakturen können Spaltbrüche oder eine zusätzliche Beteiligung der Hinterkante des Wirbels bestehen. Während einer konservativen Therapie kommt es häufig nicht zu einer kompletten Ausheilung. Hier können wir unter Umständen einen Wirbelkörperersatz und eine zusätzliche dorsale Stabilisierung verwenden.
Die minimal-invasive Stabilisierung und Auffüllung von Frakturen erfordert meist nur eine sehr kurze Operationszeit. Auch Ihr Krankenhausaufenthalt nach dieser Operation ist oft sehr kurz.


Abb. Spondylodiszitis vor der Operation
Bakterielle Infektionen und rheumatische Entzündungen können Entzündungen im Bereich der Wirbelkörperendplatten auslösen und sogar auf die Bandscheiben übergreifen. Hier sprechen wir von einer Spondylodiszitis. Die Spondylitis hingegen ist eine Entzündung im Wirbelkörper. Häufig gehen der Spondylodiszitis / Spondylitis bakterielle Infekte wie z. B. Erkrankungen des Bauchraumes, chronische Kieferabszesse u. a. voraus. Begünstigt werden die Entzündungen durch Faktoren wie Diabetes mellitus und Autoimmunerkrankungen wie Rheumatoidarthritis. Eine geschwächte Abwehrlage bei schweren Grunderkrankungen kann ebenfalls eine Rolle spielen – etwa grippalen Infekten oder Alkoholmissbrauch.
Insgesamt sind infektiöse Erkrankungen an der Wirbelsäule sehr selten. Innerhalb Europas treten im Jahr etwa fünf bis 22 Neuerkrankungen (Inzidenz) pro 1.000.000 Menschen auf. Der Anteil der Spondylitis / Spondylodiszitis an allen infektiösen Erkrankungen der Knochen und Wirbelsäule beträgt ca. 2 - 4 %. Der häufigste Erreger ist der Staphylococcus aureus, danach kommen Streptokokken und zunehmend häufiger auch Enterokokken.
Betroffene klagen über dumpfe, meist nächtliche Rückenschmerzen, Fieber, Gewichtsabnahme und ein allgemeines Schwächegefühl mit Leistungsabfall. Bei einer Ausbreitung von Abszessen im Wirbelkanal können auch neurologische Symptome mit Gefühlsstörungen und Lähmungen auftreten.


Abb. Spondylodiszitis nach der Operation
Problematisch bei Spondylitis und Spondylodiszitis ist, dass die Diagnosestellung sehr komplex ist und eine Erkrankung oft zu spät erkannt und behandelt wird. In der Frühphase ist im Röntgenbild meist wenig zu erkennen. In der Labordiagnostik zeigt sich häufig ein unspezifisch erhöhter CRP Wert. Das CRP (C-reaktives Protein) ist ein Eiweiß, das bei Entzündungen im Körper vermehrt im Blut vorhanden ist. Zur Diagnosesicherung einer Spondylodiszitis verwenden wir für gewöhnlich das MRT. Dadurch können wir die Ausdehnung der Entzündung im Knochen und im Weichteilgewebe gut beurteilen.
Bei der konservativen Therapie stellen wir die Ruhigstellung Ihrer Wirbelsäule und die antibiotische Behandlung in den Vordergrund. Um eine zielgerichtete Antibiotikatherapie zu ermöglichen, führen wir einen Erregernachweis mit einer Blutkultur oder eine Knochenbiopsie des infizierten Wirbelkörpers durch.
Ist die Zerstörung der Wirbel mit segmentaler Instabilität fortgeschritten oder kommt es zur Entwicklung von neurologischen Ausfallerscheinungen sollte eine operative Therapie in Betracht gezogen werden. Während wir dann Abszesse im Spinalkanal ausräumen, werden teilweise auch die befallenen Wirbelkörper durch entsprechende Implantate in Kombination mit einer Stabilisierung über ein Schrauben-Stab-System ersetzt.
Sowohl bei der konservativen Therapie als auch bei der Operation erfolgt über mehrere Wochen eine Antibiotikatherapie, bis die Entzündung komplett ausgeheilt ist. Dabei werden wir die Gabe von Antibiotika und den Heilungsprozess durch regelmäßige Laborkontrollen überwachen. Die Dauer des Aufenthalts im Krankenhaus und die Dauer der Genesung hängen von vielen Faktoren ab, eine Vorhersage ist leider nicht möglich.
Die Iliosakralgelenke (ISG, SIG) sind tragende Gelenke im Becken, die sich zwischen den Hüftgelenken und der Wirbelsäule befinden. Somit sind sie bei jeder körperlichen Aktivität Belastungen ausgesetzt, die zum Verschleiß führen können.
Die Ursachen können, neben dem allgemeinen Verschleiß, die Folgen vorangegangener Operationen an der Lendenwirbelsäule, die Spätfolgen eines Beckenbruches, ein Sturz, Schwangerschaft oder eine Entzündung sein.
Die Diagnose des ISG-Syndroms kann nur in Kombination verschiedener Untersuchungen gestellt werden. Dazu gehört eine umfassende körperliche Untersuchung, radiologische Darstellungen (Röntgen, CT, MRT) sowie der Einsatz eines Lokalanästhetikums (örtliches Betäubungsmittel). Dieses Mittel wird unter Röntgenkontrolle in das betroffene Gelenk gespritzt.
Die konservativen Behandlungsmaßnahmen umfassen die Einnahme von Schmerzmitteln, Physiotherapie, manuelle Therapie (Chiropraktik) und Injektionen in das ISG. Diese Behandlungen können wiederholt eingesetzt werden.
Wenn die konservativen Maßnahmen ausgereizt sind und eine Beschwerdefreiheit nur noch über einen kurzen Zeitraum oder überhaupt nicht mehr eintritt, kann ein operativer Eingriff notwendig werden. Hierbei wird dann über einen operativen Zugang mit einem Spezialinstrumentarium ein Implantat eingesetzt, das den Bandapparat sowie die Gelenkflächen des ISG durch kontrolliertes Aufspreizen dem normalen Zustand wieder annähert. Zugleich wird Knochen- oder Knochenersatzmaterial angelagert, das nach abgeschlossener Heilphase für eine dauerhafte Ruhigstellung des Gelenks sorgen soll.
Weitere Informationen zur MRT-Diagnostik der Iliosakralgelenke finden Sie auf den folgenden Seiten:
