MRT Abdomen -
Kernspintomographie des Bauches
Eine MRT-Untersuchung ist ein Verfahren der bildgebenden Diagnostik. Sie stellt das Körperinnere mithilfe eines starken Magnetfelds und Radiowellen dar – und das komplett ohne Röntgenstrahlung. Somit gilt die MRT-Untersuchung als schonendes Verfahren.

MRT Abdomen - Einsatzbereiche
Mit einer Abdomen-MRT, also einer MRT vom Bauch, kann der Bereich zwischen Rippen und Becken mit seinen im Bauchraum gelegenen Organe (siehe unten) sehr präzise untersucht werden.
Um Gewebearten und -strukturen besser unterscheiden zu können, wird meist ein Kontrastmittel intravenös verabreicht.
Bereiche des Abdomens
Als Abdomen (Bauch) wird der Bereich zwischen Brustkorb und Becken bezeichnet. In diesem Bereich liegen die Bauchorgane, welche sich folgenden Systemen innerhalb des Körpers zuordnen lassen
- Verdauungssystem (Magen, Dünndarm, Dickdarm, Leber, Gallenblase, exokrine Bauchspeicheldrüse)
- Harnsystem (Nieren, Harnleiter)
- Hormonsystem (Nebennieren, endokrine Bauchspeicheldrüse)
- Immunsystem (Milz)
Der gesamte Bauch wird in drei Bereiche unterteilt:
Oberbauch Bereich zwischen Rippen und Bauchnabel
Mittelbauch Bereich um den Bauchnabel herum
Unterbauch Bereich zwischen Bauchnabel und Becken
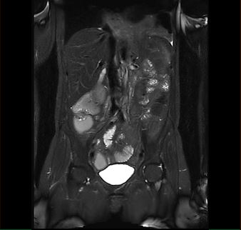
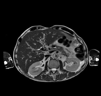
Beispiele von MRT-Abdomen Aufnahmen
Häufig gestellte Fragen
Muss ich für ein Bauch-MRT nüchtern sein?
Bei einigen Bauch-MRT müssen Sie bitte nüchtern erscheinen. Dies gilt vor allem bei einer Untersuchung der Gallenwege (MRCP) und Untersuchungen mit Fokus auf den Magen-Darm-Trakt (z.B. MRT-Sellink-Untersuchung). Sollten Sie sich nicht sicher sein, ob Sie nüchtern erscheinen sollen, fragen Sie bitte Ihren überweisenden Arzt bzw. Ihre überweisende Ärztin. Diese können, sofern nötig, auch mit uns Rücksprache halten.
Was passiert vor der Bauch-MRT-Untersuchung?
Unsere MTRA begleiten Sie in den Untersuchungsraum, wo sie sich auf die Liege des MRT-Geräts legen. Je nachdem, was untersucht werden soll, legt die MTRA einen Zugang in einer Ihrer Armvenen, damit wir darüber Kontrastmittel verabreichen können.
WIE WEIT MUSS ICH BEI EINER BAUCH-MRT IN DIE RÖHRE?
In der Regel Sie werden auf dem Rücken liegend mit dem Kopf voran in das MRT-Gerät geschoben. Innerhalb des Geräts werden Sie so positioniert, dass sich der zu untersuchende Körperabschnitt, in Ihrem Fall der untere Rumpf, in der Mitte des Geräts befindet. Sollten Sie unter Platzangst oder Adipositas leiden, stellt ein offener MRT eine Alternative zu herkömmlichen MRT-Geräten dar. Genauso können mit einem offenen MRT aber auch Kinder oder Patienten, deren Mobilität eingeschränkt ist, komfortabel untersucht werden. Sprechen Sie bitte vorher mit Ihrer Krankenkasse, ob eine Untersuchung auch in einem offenen MRT möglich ist.
WARUM WIRD BEI MEINER BAUCH-MRT KONTRASTMITTEL VERWENDET?
Kontrastmittel kommt je nach Fragestellung (z.B. Ausschluss einer gut- oder bösartigen Veränderung) zum Einsatz und wird während der Untersuchung gespritzt.
WIE LANGE DAUERT EINE MRT DES ABDOMENS?
Eine MRT des Abdomens dauert normalerweise zwischen 30 und 40 Minuten und ist schmerzfrei. Es ist wichtig, dass Sie während der gesamten Untersuchung stillliegen bleiben und auf die Atemkommandos zu achten, um die Bildqualität nicht negativ zu beeinträchtigen.
Wann ist eine MRT und wann eine CT von Abdomen/Bauch sinnvoll?
Ein MRT Abdomen/Bauch eignet sich besonders für detaillierte Weichteilbeurteilungen und wenn strahlungsfreie Verfahren bevorzugt werden. Ein CT Abdomen ist ideal, wenn schnelle Ergebnisse benötigt werden oder Entzündungen, Blutungen, Verletzungen oder Kalkstrukturen beurteilt werden sollen.
WARUM IST ES WÄHREND DER MRT-UNTERSUCHUNG SO LAUT?
Die Magnetfelder im Gerät, welche immer auf „Stand-by“ sind, bringen während der Untersuchung verschiedene Sequenzen ein, dies erzeugt die lauten Klopfgeräusche. Damit die Untersuchung für Sie so angenehm wie möglich wird, erhalten Sie von uns vor der Untersuchung Ohrstöpsel und Kopfhörer.
Besondere Bauch-MRT-Untersuchungen IM MRT
MRCP
Mit der Magnetresonanz-Cholangiopankreatikographie, kurz „MRCP“, können Veränderungen und Entzündungen in den Gallenwegen, Gallensteine und der Bauchspeicheldrüse (Pankreas) diagnostiziert werden.
SELLINK-MRT/HYDRO-MRT
Die Sellink-MRT / Hydro-MRT ist eine Untersuchung des Magen-Darm-Trakts. Sie ermöglicht die Darstellung tumoröser oder entzündlicher Veränderungen an Dick- und Dünndarm. Häufig wird dieses Verfahren bei chronisch-entzündlichen Darmerkrankungen wie Morbus Crohn oder Colitis ulcerosa eingesetzt. Für die Untersuchung sollte ca. zwei Tage vorher die Ernährung angepasst werden. Mehr Informationen bekommen Sie in einem ausführlichen Aufklärungsgespräch.
Indikationen und Erkrankungen
Bei welchen Indikationen ist ein MRT-Abdomen sinnvoll?
- Verdauungsprobleme
- Akute oder chronische Bauchbeschwerden
- Verlaufskontrolle bei bestehenden Erkrankungen
Durch eine MRT des Bauchs können beispielsweise folgende Anomalien oder Veränderungen der inneren Organe frühzeitig festgestellt werden:
- Entzündungen
- Veränderungen der Blutgefäße
- Tumore
- Zysten
- Gallensteine
Wie bekomme ich einen Termin für ein Abdomen-MRT?
Eine Buchung für eine Abdomen-MRT ist zur zeit nicht über unser MRT-Portal möglich. Fragen Sie einen Termin bitte über unser Kontktformular an.
Auf den folgenden Seiten finden Sie weiterführende Informationen zu MRT-Untersuchungen
Nicht alle Leistungen werden an allen Standorten der Radiologie 360° angeboten.
Sprechen Sie bitte mit Ihrem behandelnden Arzt über die medizinischen Leistungen, die in Ihrem Falle indiziert sind und über die Fragen einer etwaigen Kostenübernahme durch Ihre Krankenversicherung.