MRT der Prostata (mpMRT)
Die MRT der Prostata (mpMRT) ist ein modernes, strahlungsfreies Bildgebungsverfahren, das eine besonders präzise Beurteilung der Prostata ermöglicht.
Mit ihrer hohen Auflösung zeigt die Untersuchung, ob auffällige PSA-Werte, Beschwerden oder ein unklarer Tastbefund auf eine gutartige Veränderung oder einen Tumor hinweisen könnten. Die mpMRT wird heute häufig vor einer Biopsie eingesetzt, um verdächtige Areale gezielt zu identifizieren und unnötige Eingriffe zu vermeiden.So liefert die Untersuchung einen wichtigen Beitrag zur Früherkennung und Diagnose von Prostataveränderungen.
Auf dieser Seite
Das erwartet Sie in unserer Praxis:
✓ Termin direkt online anfragen
✓ Zertifizierte Radiologen (Q2-Zertifikat)
✓ Hohe technische Qualitätsstandards
✓ Moderne und hochwertig ausgestattete MRT-Geräte
Wenn Sie einen Termin für eine MRT-Untersuchung der Prostata vereinbaren möchten oder weitere Fragen haben, nutzen Sie bitte unser Kontaktformular. Wir rufen Sie gerne zurück.

Wann wird eine multiparametrische MRT (mpMRT) der Prostata durchgeführt?
Die multiparametrische MRT (mpMRT) ist eine spezielle Form der MRT-Untersuchung, die zur Diagnose von Prostatakrebs eingesetzt wird. Im Vergleich zur herkömmlichen MRT bietet die mpMRT eine höhere Treffsicherheit bei der Erkennung von Prostatakrebs, da sie mehrere Parameter miteinander kombiniert. Dazu gehören unter anderem die Signalintensität des Prostatagewebes, die Durchblutung und die Diffusion von Wassermolekülen im Gewebe.
Die mpMRT der Prostata ist daher ein wichtiger Baustein in der Früherkennung und Diagnose von Prostatakrebs und kann helfen, Tumore früher und genauer zu erkennen.

Wie ist der Ablauf einer MRT der Prostata?
Vorab ist keine spezielle Vorbereitung notwendig.Es gelten die allgemeinen Kontraindikationen gegen eine MRT. Diese werden im Vorfeld abgeklärt. Außerdem findet vor der Untersuchung ein Gespräch mit dem Arzt statt.
Während der Untersuchung ist es wichtig, dass Sie möglichst ruhig liegen, da sich starke Bewegungen negativ auf die Bildqualität auswirken können. Je nach Ausgangssituation kann es sinnvoll sein ein Kontrastmittel zu verabreichen, um die Darstellung des Gewebes zu verbessern. Auch die Gabe von darmberuhigenden Medikamenten ist möglich, um störende Darmbewegungen zu vermeiden.
Nach der Untersuchung erhalten Sie einen sogenannten PI-RADS-Score, der eine Einschätzung der Wahrscheinlichkeit einer bösartigen Veränderung der Prostata gibt. Je nach Ergebnis können weitere Untersuchungen notwendig sein oder direkt therapeutische Maßnahmen eingeleitet werden.
Häufig gestellte Fragen
Wie lange dauert eine Kernspintomographie der Prostata?
Die MRT-Untersuchung dauert in der Regel etwa 30 bis 45 Minuten.
Ist die Untersuchung schmerzhaft?
Nein, eine MRT ist schmerzfrei. Allerdings entstehen durch die starken Magnetfelder laute Klopfgeräusche, die manche Patienten als unangenehm empfinden. Deshalb werden Ihnen schalldämpfende Kopfhörer aufgesetzt.
Wer übernimmt die Kosten einer Prostata-MRT?
Die Kosten für eine mpMRT der Prostata werden aktuell nicht von den gesetzlichen Krankenkassen übernommen.
Bei privaten Krankenversicherungen können die Kosten variieren und sollten vor der Untersuchung geklärt werden.
Wieso ist eine Untersuchung der Prostata sinnvoll?
Die Prostata, auch Vorsteherdrüse genannt, befindet sich unterhalb der Harnblase bei Männern und hat wichtige Funktionen im Zusammenhang mit der männlichen Fortpflanzung. Im Laufe des Lebens kann es zu Veränderungen oder Erkrankungen der Prostata kommen, wie zum Beispiel einer gutartigen Prostatavergrößerung oder Prostatakrebs (Prostatakarzinom). Um solche Veränderungen frühzeitig zu erkennen, wird eine regelmäßige Untersuchung der Prostata empfohlen.
Ab wann und wie oft sollte die Prostata vorsorglich untersucht werden?
Gewöhnlich wird Männern ab 45 Jahren eine jährliche Prostatakrebsvorsorge empfohlen. Für Männer mit familiärer Vorbelastung gilt die Empfehlung bereits ab 40 Jahren. Wie oft eine Prostata-MRT sinnvoll ist, hängt vom Alter des Patienten, dem Vorliegen von Risikofaktoren und anderen Variablen ab. Die Entscheidung sollte jedoch immer in Absprache mit dem behandelnden Arzt getroffen werden, um individuelle Risikofaktoren und Bedürfnisse zu berücksichtigen.
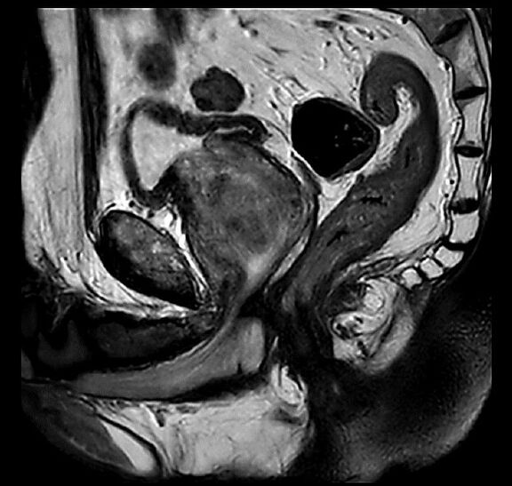
Beispiele von MRT-Prostata Aufnahmen



Einsatzmöglichkeiten der Prostata-MRT
Die MRT wird meist zur Abklärung von Auffälligkeiten in der Prostata eingesetzt, die bei anderen Untersuchungen wie einer Tastuntersuchung, einer Blutuntersuchung oder einem PSA-Test festgestellt wurden. Dazu gehören zum Beispiel eine Vergrößerung der Prostata oder der Verdacht auf Prostatakrebs. Neben der Diagnose von Prostatakrebs können auch andere Erkrankungen wie Entzündungen oder gutartige Vergrößerungen der Prostata im MRT erkannt werden. Dies ermöglicht eine gezielte und schnelle Therapie.
Symptome von Prostataerkrankungen sind unter anderem
- Schmerzhaftes Wasserlassen
- häufiger Harndrang
- auffälliger Urinbefund z.B. Blut im Urin oder ungewöhnlicher Geruch
- Schmerzen im Beckenbereich
Schmerzfreie und schonende Alternative zur Biopsie
Durch die detaillierte Darstellung der Prostata lassen sich auffällige Areale präzise lokalisieren – häufig ohne sofortigen Eingriff.
Nur wenn die mpMRT ein verdächtiges Areal zeigt, wird eine gezielte Biopsie empfohlen.
Dies reduziert unnötige Eingriffe und erhöht gleichzeitig die diagnostische Sicherheit. Daher kann die MRT der Prostata in vielen Fällen eine schonende, strahlungsfreie und schmerzfreie Alternative zur klassischen systematischen Prostatabiopsie darstellen.
Vorteile der Prostata-Untersuchung im MRT
Ein großer Vorteil der MRT im Vergleich zu anderen Verfahren ist die hohe Genauigkeit bei der Erkennung von Prostatakrebs im Vergleich zu anderen Verfahren. Die MRT kann die Gewebestrukturen der Prostata gezielt abbilden und so kleinste Veränderungen sichtbar machen. Zudem ist die Untersuchung schonender und kommt ohne den Einsatz von Röntgenstrahlung aus.
Grenzen der mpMRT der Prostata
Trotz ihrer hohen diagnostischen Aussagekraft hat auch die mpMRT Grenzen: Die Untersuchung kann eine Biopsie nicht in jedem Fall ersetzen. Ob eine weiterführende Diagnostik sinnvoll ist, entscheidet Ihr behandelnder Arzt anhand der Befunde.
Wo wird die mpMRT angeboten?
Folgende radiologische Standorte der Med 360° und Conradia bieten die MRT der Prostata an:
Radiologie 360° Köln-Rodenkirchen
Radiologie 360° Düsseldorf-Luegallee
Radiologie 360° am Florence-Nightingale-Krankenhaus in Düsseldorf
Radiologie 360° Leverkusen-Fixheide
Radiologie 360° Straßlach bei München
Conradia Radiologie Berlin Charlottenburg
Conradia Radiologie Hamburg am Weidenbaumsweg
Conradia Radiologie Hamburg Eppendorf/Falkenried
Auf den folgenden Seiten finden Sie weiterführende Informationen zu MRT- und CT-Untersuchungen
Nicht alle Leistungen werden an allen Standorten der Radiologie 360° angeboten.
Sprechen Sie bitte mit Ihrem behandelnden Arzt über die medizinischen Leistungen, die in Ihrem Falle indiziert sind und über die Fragen einer etwaigen Kostenübernahme durch Ihre Krankenversicherung.