MRT Nasennebenhöhlen (NNH)
Die Magnetresonanztomographie, kurz MRT, ist ein modernes bildgebendes Verfahren, das ohne Röntgenstrahlen auskommt und besonders detaillierte Einblicke in das Körperinnere ermöglicht. Auch bei Beschwerden im Bereich von Nase, Stirn und Gesicht kann die MRT wertvolle Informationen liefern. Bei der MRT der Nasennebenhöhlen (NNH) werden gezielt die anatomischen Strukturen rund um die Haupt- und Nebenhöhlen der Nase untersucht.
Auf dieser Seite
Das erwartet Sie in unseren Praxen:
✓ MRT-Termin direkt online anfragen
✓ Freundliche Atmosphäre
✓ Kompetente Teams
✓ Hohe technische Qualitätsstandards
Wann ist eine MRT der Nebenhöhlen sinnvoll?
Bei häufigen unklaren Gesichtsschmerzen, Riechsstörungen, chronischer Nebenhöhlenentzündung oder bei Verdacht auf Trigeminusneuralgie kann eine MRT Klarheit bringen.
Ablauf bei der MRT der Nasennebenhöhlen
Die MRT der Nasennebenhöhlen (NNH) erfolgt in der Regel im Rahmen einer Kopf-MRT, bei der gezielt die Strukturen im Bereich der Nase und der Stirn abgebildet werden.
Eine besondere Vorbereitung ist in den meisten Fällen nicht erforderlich. Metallische Gegenstände wie Schmuck, Piercings oder Haarnadeln sollten vor der Untersuchung abgelegt werden. Falls Sie unter Klaustrophobie (Platzangst) leiden, teilen Sie dies bitte dem Personal mit.
Die Untersuchung wird in Rückenlage durchgeführt und dauert etwa 15 bis 25 Minuten. Bitte planen Sie insgesamt etwa eine Stunde für Ihren Termin ein.
Die Bilder werden anschließend von erfahrenen Radiologen ausgewertet und an denbehandelnden Arzt übermittelt. Je nach Ergebnis können weitere Schritte eingeleitet oder eine gezielte Therapie begonnen werden.
In vielen Fällen kann eine MRT der Nasennebenhöhlen ohne Kontrastmittel durchgeführt werden. Nur wenn ein konkreter Verdacht auf Tumore, unklare entzündliche Prozesse oder Veränderungen des Nervengewebes besteht, ist ein Kontrastmittel sinnvoll. Es ist gut verträglich und dient dazu, bestimmte Strukturen besser sichtbar zu machen.
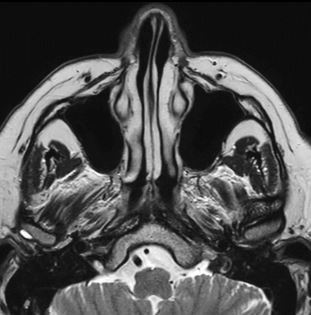
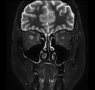
Beispielaufnahmen von einer MRT der Nasennebenhöhlen (NNH)
Einsatzgebiete
Die MRT der Nasennebenhöhlen zeigt ihren Mehrwert vor allem in der Diagnostik von akuten oder chronischen Entzündungen sowie in der Früherkennung und Unterscheidung von gut- und bösartigen Tumoren. Auch bei angeborenen Fehlbildungen, bei Verdacht auf Fremdkörper oder zur Operationsvorbereitung liefert sie wertvolle Informationen.
Zu den diagnostizierbaren Erkrankungen gehören unter anderem:
- Nasennebenhöhlenentzündung (Sinusitis)
- Gutartige Veränderungen wie Polypen, Schleimhautschwellungen, Mukozelen oder Pyozelen
- Bösartige Tumore
- Zysten
- Verletzungen oder Frakturen, z.B. nach einem Unfall
- Systemische Erkrankungen mit Beteiligung der Schleimhäute, z. B. Autoimmunerkrankungen
Gerade wenn Beschwerden über einen längeren Zeitraum bestehen und die Ursache unklar ist, ist die NNH-MRT sinnvoll. Die besonders gute Auflösung der Bilder macht die MRT zu einem zuverlässigen Begleiter in der modernen HNO-Diagnostik. Mit den gewonnenen Erkenntnissen können gezielte Behandlungsmaßnahmen eingeleitet oder unnötige Eingriffe vermieden werden.
Häufig gestellte Fragen (FAQ)
Was sieht man bei einer MRT der Nebenhöhlen?
- Nasennebenhöhlen: Kieferhöhlen, Stirnhöhlen, Siebbeinzellen, Keilbeinhöhlen
- Nasengänge und Nasenmuscheln
- Schleimhäute und deren Zustand
- Nasenscheidewand (z. B. bei Verkrümmungen)
- Weichteilgewebe, Nervenverläufe (z. B. Trigeminusnerv) und Blutgefäße
- Schädelbasis und angrenzende Hirnstrukturen
Wer übernimmt die Kosten für die Untersuchung?
Die Kosten für eine MRT der Nasennebenhöhlen werden in der Regel von den gesetzlichen und privaten Krankenkassen übernommen – vorausgesetzt, es besteht eine medizinische Notwendigkeit und die Untersuchung wurde von einem Facharzt verordnet. Wenn Sie Fragen zur Kostenübernahme oder zum Ablauf der Abrechnung haben, informieren wir Sie gerne persönlich.
CT oder MRT – was ist besser bei Nasennebenhöhlenentzündungen?
Bei einer akuten Nebenhöhlenentzündung wird häufig eine Computertomographie (CT) empfohlen, da hier knöcherne Strukturen wie die Nebenhöhlenwände und Abflusswege gut dargestellt werden können.
Bei einer chronischen Sinusitis bietet die MRT entscheidende Vorteile: Sie zeigt Weichteile wie Schleimhäute, Zysten, Mukozelen oder auch begleitende Veränderungen im Nervengewebe besonders detailliert. Denn gerade bei chronischen Entzündungen, die länger als 12 Wochen anhalten oder immer wiederkehren, sind häufig nicht nur die Nebenhöhlen selbst, sondern auch die umgebenden Weichteile betroffen – z.B. durch Schleimhautschwellungen, Verlegungen der Abflusswege oder tiefer liegende entzündliche Prozesse, die im CT kaum sichtbar sind.
Welche Funktion haben die Nasennebenhöhlen?
Die Nasennebenhöhlen sind luftgefüllte Hohlräume im Schädel, die unter anderem zur Befeuchtung und Erwärmung der Atemluft, zur Stimmresonanz (Verstärkung und Klangfarbe der Stimme) und zur Gewichtsreduktion des Schädels beitragen. Sie sind durch enge Öffnungen mit der Nasenhöhle verbunden.
Durch Schleimhautentzündungen, Polypen oder Verengungen kann der natürliche Abfluss gestört werden, was häufig zu wiederkehrenden Beschwerden führt. Eine Nasennebenhöhlen-MRT hilft, solche Störungen sichtbar zu machen.
Wie bekomme ich einen Termin für eine MRT der Nasennebenhöhlen?
MRT-Termine können Sie ganz bequem von zuhause über unsere Onlinebuchung anfragen. Bitte halten Sie dafür Ihr Mobiltelefon und Ihre E-Mail-Adresse bereit.
Patient:innen, ...
- unter 18 Jahren
- die schwanger sind
- mit Herzschrittmacher, künstlicher Herzklappe, Insulinpumpe, Neurostimulatoren, Defibrillatoren, Ohr-Implantat, Metallteilen im Körper
- an der Wirbelsäule operiert wurden
- oder unter Adipositas oder an Platzangst leiden
... buchen bitte keinen Termin online, sondern nutzen dieses Kontaktformular.
Auf den folgenden Seiten finden Sie weiterführende Informationen zu MRT- und CT-Untersuchungen
Nicht alle Leistungen werden an allen Standorten der Radiologie 360° angeboten.
Sprechen Sie bitte mit Ihrem behandelnden Arzt über die medizinischen Leistungen, die in Ihrem Falle indiziert sind und über die Fragen einer etwaigen Kostenübernahme durch Ihre Krankenversicherung.